Premieră la spitalul din Mioveni!

Alte Știri

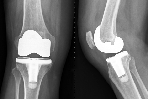
A fost marcată o noua premieră la Spitalul Orășenesc Mioveni. De data aceasta, este vorba despre o operație de artroplastie totală de genunchi (protezare totală a genunchiului), prin aport minim invaziv (subvast), ce a permis pacientului să se mobilizeze imediat după operație(timpul de recuperare fiind scurtat semnificativ).

Ca în majoritatea situațiilor de acest gen, succesul intervenției a fost asigurat de echipa medicală, fiecare dintre membrii acesteia având un rol important în soluționarea acestui caz.

Operația a fost realizată de către dr. Cătălin Stoian și de dr. Sorin Barbu.

Reamintim că medicul Cătălin Stoian este absolvent al UMF ”Carol Davila” București, a efectuat stagiul de rezidențiat la cel mai mare centru de ortopedie din țară – Spitalul Foișor din București și timp de doi ani a colaborat cu această unitate medicală, dar și cu Spitalul CF2 București și Regina Maria din Capitală.


Medicul Sorin Barbu este un profesionist desăvârșit, cu o experiență bogată în domeniul ortopediei și traumatologiei, având și o specializare efectuată în Irlanda la Croom Orthopaedic Hospital.

Potrivit conducerii Spitalului Orășenesc Mioveni, în ultimele 6 luni, cei doi medici au efectuat peste 100 de intervenții.



Ultimele Știri

S-a lăsat gerul în luna Mai. Casele din Rucăr au început să ia foc, una după alta!

S-a lăsat gerul în luna Mai. Casele din Rucăr au început să ia foc, una după alta! Un incendiu a...

Alte știri din aceeași categorie